Ovarian Cancer Pelvic Ultrasound Images

Pelvic Ultrasound In Houston For Ovarian Cancer Screening

Pelvic Ultrasound In Houston For Ovarian Cancer Screening

Pelvic Ultrasound In Houston For Ovarian Cancer Screening

Pelvic Ultrasound In Houston For Ovarian Cancer Screening

Ovarian Tumors

Ovarian Tumors

Imaging Techniques For The Diagnosis Of Ovarian Cancers

Imaging Techniques For The Diagnosis Of Ovarian Cancers

Detection And Diagnosis Ovarian Cancer Symptoms And Diagnosis

Detection And Diagnosis Ovarian Cancer Symptoms And Diagnosis

Ovarian Cancer And Pregnancy Intechopen

Ovarian Cancer And Pregnancy Intechopen

Ovarian Cancer And Pregnancy Intechopen

Pelvic transvaginal ultrasound this scan is used to create a clearer picture of your reproductive organs including your uterus ovaries fallopian tubes and cervix.

Ovarian cancer pelvic ultrasound images. The sonographer will insert a small probe into your vagina. In transvaginal ultrasound a probe is inserted into the vagina for a better view of the uterus and ovaries. Uses sound waves to produce pictures of the structures and organs in the pelvis and can help identify ovarian or uterine cancers. Ultrasound scans use high frequency sound waves to create a picture of a part of the body.

10 17 19 a large multicenter trial comparing ultrasound computed tomography ct and magnetic resonance imaging mri in the diagnosis and staging of ovarian cancer showed little difference between these modalities. A good ultrasound image can identify a mass and determine if it s a tumor solid or a cyst fluid filled. By the time the changes of ovarian cancer are detectable by ultrasound most ovarian cancers are well beyond the early stage of the disease. The 2 tests used most often in addition to a complete pelvic exam to screen for ovarian cancer are transvaginal ultrasound tvus and the ca 125 blood test.

Ultrasound scan you might have an external ultrasound of your lower tummy pelvis or a vaginal ultrasound to help diagnose ovarian cancer. It can even see inside the ovaries. But these scans can t determine whether the abnormality is cancer. Tvus transvaginal ultrasound is a test that uses sound waves to look at the uterus fallopian tubes and ovaries by putting an ultrasound wand into the vagina.

Transvaginal ultrasound or tvus usually prescribed for screening and detecting ovarian cancer uses sound waves for looking inside the uterus ovaries and fallopian tubes. A transvaginal ultrasound involves inserting an ultrasound probe slightly larger than a tampon into the vagina to obtain images of the ovaries. Diagnosing ovarian cancer imaging tests such as ultrasound or ct scans seen here can help reveal an ovarian mass. You will be asked to undress from the waist down and to lie down on an examination couch with your knees bent.

The process of tvus uses an ultrasound wand into the vagina in order to find any mass or lump in the ovary or uterus though not all the masses found would essentially be tumor. In cases of ovarian cancer ultrasound usually reveals complex cysts on one or both ovaries multiple solid masses nodule on the bowel or excess pelvic and or abdominal fluid. The lowest sensitivity and highest specificity for diagnosis was found with ultrasound.

Gps Refused Access To Ovarian Cancer Scans Gponline

Gps Refused Access To Ovarian Cancer Scans Gponline

Simple Ovarian Cysts On Ultrasound Need No Further Monitoring

Simple Ovarian Cysts On Ultrasound Need No Further Monitoring

Ovarian Cancer Oncology Medbullets Step 2 3

Ovarian Cancer Oncology Medbullets Step 2 3

Figure 1 From Arly Detection Of Ovarian Cancer By Tumor Epithelium

Figure 1 From Arly Detection Of Ovarian Cancer By Tumor Epithelium

A Better Way To Assess Ovarian Cancer Risk Ncal Research Spotlight

A Better Way To Assess Ovarian Cancer Risk Ncal Research Spotlight

Ultrasound Imaging Of Ovarian Cancer Chapter 22

Ultrasound Imaging Of Ovarian Cancer Chapter 22

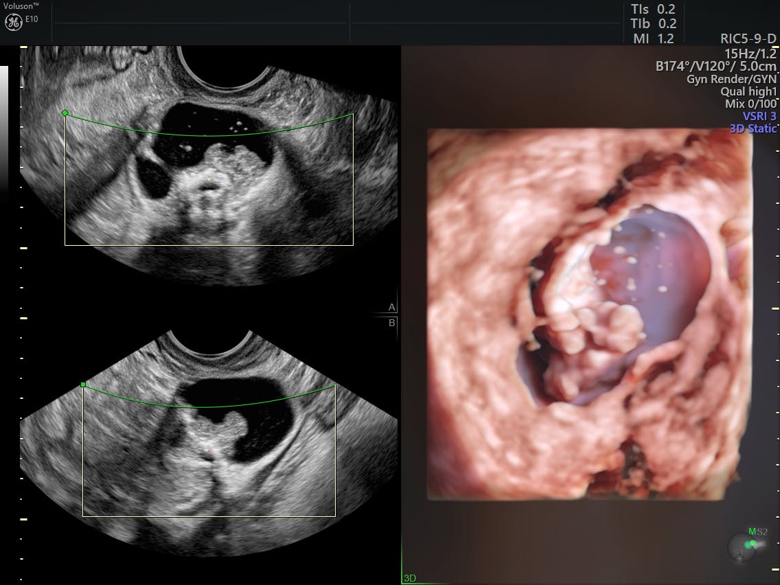
What 3d Ultrasound Can Tell You About Ovarian Cancer Empowered

What 3d Ultrasound Can Tell You About Ovarian Cancer Empowered

Imaging The Suspected Ovarian Malignancy 14 Cases Mdedge Obgyn

Imaging The Suspected Ovarian Malignancy 14 Cases Mdedge Obgyn

Pelvic Sonogram For Ovarian Cancer Cancer News Update

Pelvic Sonogram For Ovarian Cancer Cancer News Update

Ovarian Tumors

Ovarian Tumors

The Radiology Assistant Common Ovarian Cystic Lesions

The Radiology Assistant Common Ovarian Cystic Lesions

Diagnostics Free Full Text Ultrasound Monitoring Of Extant

Diagnostics Free Full Text Ultrasound Monitoring Of Extant

The Radiology Assistant Roadmap To Evaluate Ovarian Cysts

The Radiology Assistant Roadmap To Evaluate Ovarian Cysts

Detection And Diagnosis Ovarian Cancer Symptoms And Diagnosis

Detection And Diagnosis Ovarian Cancer Symptoms And Diagnosis